見えない・目立たない装置での舌側矯正

もりた歯科・矯正歯科

症例

  • 矯正治療
  • がたがた(叢生)の矯正
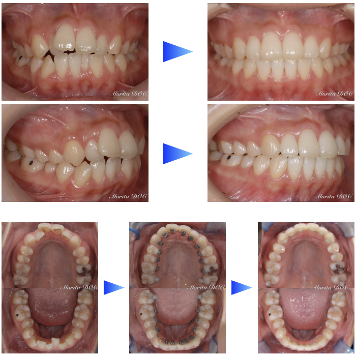
出っ歯(上下顎)・歯並びの治療 【 舌側矯正 】

■主訴

前歯のガタガタ

■治療内容

抜歯は無しで全体的に装置をつけて矯正

■治療経過所見

矯正前は前歯のガタガタが目立ちましたが、矯正後は改善されました。

008 009

動的治療期間:2年7ヶ月

通院回数:42回(急患等を含む)

治療費総額:1,026,000円(過去の設定代金のため現在とは異なります)

 

■備考:

舌側の装置を装着したため、治療中は口腔内の違和感や痛み出ることがありました。

矯正装置を装着中は歯みがきが難しかったため、適宜歯石除去やクリーニングを行いました。

矯正治療中は、歯みがきが難しくなるとむし歯や歯周病になりやすいため、丁寧に歯みがきを行う必要があります。

※同じような歯並びでも、矯正治療の結果は患者様によって個人差があります。

また、全ての矯正治療では後戻り、歯肉退縮、歯根吸収を生じる可能性があります。

082-224-2460 お問い合わせ