
それを治療するのが歯科矯正治療です。
おもに歯並びとかみ合わせの改善を目的としますが、
それと同時に患者様のメンタル面の改善もお手伝いできればと思っています。
当院では主に、見えない矯正(舌側矯正)での矯正治療を行っております。
矯正治療の相談は無料で行っております。お気軽にご相談ください。
歯科矯正にはいろいろな種類があり、悪い歯ならびや噛み合わせを、きちんと噛み合うようにして、きれいな歯ならびにする歯科治療です。
歯がふぞろいだったり、上下のアゴの歯ならびがお互いにちゃんと噛み合わない状態では、以下の問題が起こる可能性があります。

舌側矯正(ぜっそくきょうせい)とは、矯正装置を歯の裏側につける矯正方法です。
装置が歯の裏側につくので、周りの人に気づかれずに歯を矯正することができます。
当院院長は日本舌側矯正歯科学会会員で、多くの症例に対する臨床経験を積んでおります。
昔は「適応できる症例が少ない」「治療期間が長い」「治療結果に難がある」などの批判がありましたが、現在では唇側の装置に比べ、ひけをとらない治療結果を得ることができます。
他院で舌側矯正ができないと診断された方も、当院で対応できることもありますので、まずはお気軽にご相談ください。
長所
短所

舌側矯正用のブラケット(矯正装置)です。
必要最小限の抵抗で歯を移動することが出来るため、治療時の痛みが大幅に減少します。
また、定期メンテナンスに必要なワイヤーの交換、調整も短時間で可能になりました。
セルフライゲートブラケットは、非常に精度の高い加工技術により、高い操作性を備えており、ワイヤー交換時間の大幅削減・正確なコントロールが可能です。
また、最大部分の厚さも非常に薄く、患者様の違和感が少なく済みます。

Step1
矯正終了後イメージの模型を作成します。

Step2
歯の裏側に正確に装置をつけるためのハイブリッドコアを、歯1本ずつで作成します。

Step3
装着完了


簡単な歯列不正や、歯間の空隙の閉鎖、矯正後の後戻りなどに特に効果的です。
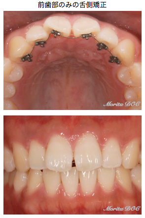
前歯部のみの舌側矯正は、前歯部だけに装置をつけるので、違和感を最小限に抑えることができます。
ただし、上記マウスピース矯正同様、複雑な歯列不正などには適応しておりません。
(例:抜歯が必要なケース、空隙が広いケース、歯の傾きが極端なケース・・・etc)
適応例は限定されますので、ご検討の場合はご来院・ご相談ください。
| 矯正相談 | 無料 |
|---|---|
| 咬合診断 | 無料 |
| 全顎矯正(舌側) | ¥1,320,000 |
| 前歯の矯正(上下顎) | ¥660,000 |
| 前歯の矯正(上顎/下顎のみ) | ¥495,000 |
| Sure Smile Aligner矯正 | ¥935,000 |
| 小児矯正 一次治療 | ¥385,000 |
※お支払いについて
全顎矯正(舌側)、Sure Smile Aligner矯正:一括でのお支払い、または2回での分割払い
その他の矯正治療:一括でのお支払い
詳細は矯正治療の説明の際にお知らせします。
※矯正治療はだいたい月1回で調整に寄っていただきますが、その際の調整代金のお支払いはありません。期間・装置の変更に関わらず、上記料金に全て含まれます。
※技工所で装置製作開始後に万が一キャンセルされた場合は、キャンセル料金が発生しますのでご了承ください。
※その他矯正治療に関するご質問がございましたら、お気軽にお問い合わせください。
矯正治療相談は無料で行っております。お電話にてご予約をお願いします。
初回に資料採り、後日治療計画という形で2回に分けて行います。ただし、遠方からのご来院などで度々のご来院が難しい場合は、この限りではありませんのでご予約時にご相談ください。
矯正相談の内容や矯正の流れについて、詳しくはこちらのページをご覧ください。
