見えない・目立たない装置での舌側矯正

もりた歯科・矯正歯科

症例

  • 矯正治療
  • 受け口の矯正
  • セラミック
受け口・上顎前歯の審美治療【 舌側矯正とラミネートベニア 】

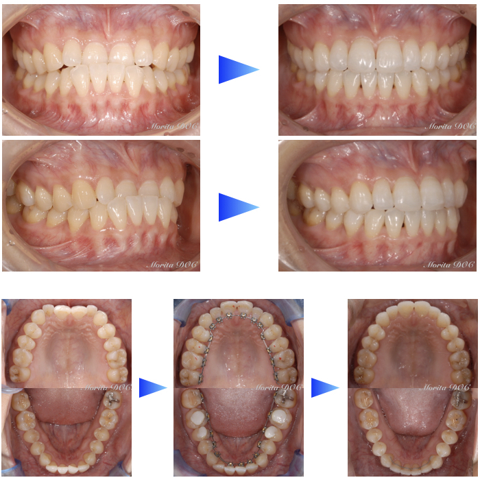
■主訴

前歯部分が反対に噛んでいることによる受け口

■治療内容

抜歯はせずに全体的に矯正し、矯正後にホワイトニングをし、上顎前歯の先端がすり減って形が乱れていたのでラミネートベニアで審美修復

■治療経過所見

矯正前は受け口で前歯部分が上顎より下顎の歯が前にありましたが、矯正後は改善され、上顎の歯のアーチも自然な形に改善されました。

017 018

動的治療期間:1年9ヶ月

通院総回数:33回(急患等を含む)

治療費総額(舌側矯正、ラミネートベニア6本、ホワイトニング等の自費治療):1,836,000円

 

■備考

舌側の装置を装着したため、治療中は口腔内の違和感や痛み出ることがありました。

矯正装置を装着中は歯みがきが難しかったため、適宜歯石除去やクリーニングを行いました。

矯正治療中は、歯みがきが難しくなるとむし歯や歯周病になりやすいため、丁寧に歯みがきを行う必要があります。

※同じような歯並びでも、矯正治療の結果は患者様によって個人差があります。

また、全ての矯正治療では後戻り、歯肉退縮、歯根吸収を生じる可能性があります。

082-224-2460 お問い合わせ