見えない・目立たない装置での舌側矯正

もりた歯科・矯正歯科

症例

  • 矯正治療
  • がたがた(叢生)の矯正
  • 出っ歯の矯正
  • セラミック
  • ホワイトニング
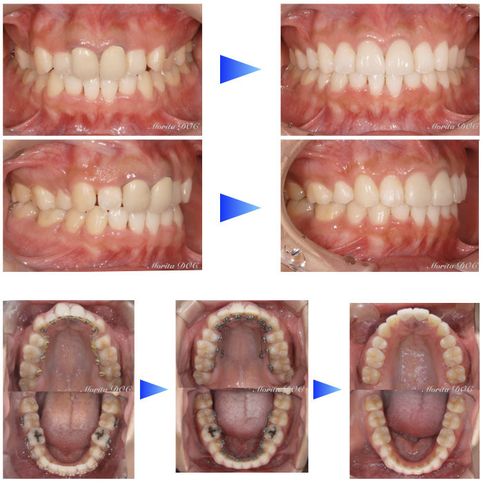
歯並び・上顎前歯の審美治療 【 舌側矯正・セラミッククラウン 】

■主訴

他矯正歯科にて表側の矯正治療中で、「治療終了すると言われたが、上の前歯と歯ぐきの突出感が治っておらず気になる」とのことで来院

■治療内容

既存装置を除去し全顎舌側矯正で再矯正後、前歯の補綴物も形・色を本体の歯に合うものにオールセラミッククラウンで作りかえ

■治療経過所見

矯正前は上顎真ん中の前歯部分にふくらみがあり、歯の傾斜も不自然でしたが、治療終了後は改善されました。



動的治療期間:2年5ヶ月

通院回数:43回(急患等を含む)

治療費総額(舌側矯正、オールセラミッククラウン2本、ホワイトニング、歯肉切除等の自費治療):1,333,800円(過去の設定代金のため現在とは異なります)

 

■備考

舌側の装置、また引っ張るために口蓋に矯正用インプラントを装着したため、治療中は口腔内の違和感や痛み出ることがありました。

矯正装置を装着中は歯みがきが難しかったため、適宜歯石除去やクリーニングを行いました。

また、歯みがきが難しかったためむし歯になったところがあり、矯正装置除去後に治療が必要となりました。

矯正治療中は、歯みがきが難しくなるとむし歯や歯周病になりやすいため、丁寧に歯みがきを行う必要があります。

※同じような歯並びでも、矯正治療の結果は患者様によって個人差があります。

また、全ての矯正治療では後戻り、歯肉退縮、歯根吸収を生じる可能性があります。

082-224-2460 お問い合わせ